女性尖锐湿疣的症状有哪些

IT新视野 1

女性尖锐湿疣的症状有哪些

尖锐湿疣又称生殖器疣或性病疣,是一种由人类乳头瘤病毒惹起的性传布疾病。在不洁性生活后,发现生殖器部位出现赘生物,形态如菜花状、鸡冠状、丘疹状、乳头状,无痛痒感,渐渐增大增多,有些表面污秽,呈血色,易出血……假设你有这样的症状,应当高度警惕尖利湿疣。

女性尖锐湿疣的症状有哪些-第1张图片-IT新视野

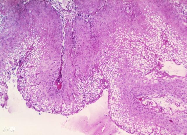
1、菜花型

女性阴道尖锐湿疣是多见的菜花状,也是相对多见的类型,专家详细介绍:病灶明显崛起,基底较宽或有细蒂,表面布满毛刺或珊瑚样崛起,涂3%醋酸后表面构造水肿变白如雪塑状。白色布景上可见散在成团的绒球状血管。

2、地毯类型

尖锐湿疣类型还包含地毯型的症状,女性出现此病后,症状会呈现白色片状的环境,并且,普通环境下,略高出于正常皮肤、粘膜,涂3%醋酸后部分变白,表面散在呈花坛状排列的点状血管或螺旋状血管,是典范的反镶嵌阴道镜图像。

女性尖锐湿疣的症状有哪些-第2张图片-IT新视野

3、指状型

女性阴道尖锐湿疣还包含指状型,也被称为棒状型,这也是病变的早期表现,专家提示:病变部位涂3%醋酸后,阴道镜观察可见许多指状崛起,崛起物基质呈透明黄色,每个指状崛起内都可见到很清楚的血管袢。

人乳头瘤病毒熏染会恶变成恶性肿瘤。尖利湿疣如不及时、有效的治疗,经过一段时间后片面患者可发生癌变。研究表明,15%的阴茎癌、5%的女阴癌以及相当数量的肛门癌是在尖利湿疣永远病变的底子上发生的。

女性尖锐湿疣的症状有哪些-第3张图片-IT新视野

以上即是为大家介绍的女性阴道尖锐湿疣症状都有甚么,相信大家对尖锐湿疣都有了少许打听了,尖锐湿疣是性病中相对凸起的一种,这种疾病也存在着潜伏期,如果尖锐湿疣在潜伏期的时候没有得到及时的治疗,病情会发生进一步的恶化。


发表评论 (已有1条评论)

评论列表

2025-07-20 12:25:30

1